

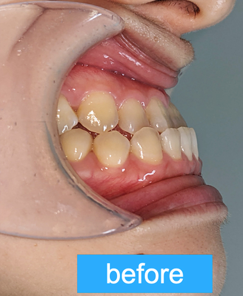
- 主訴
- 前歯が気になる(上下)
- 診断名あるいは主な症状
- 叢生
- 年齢
- 22才
- 治療に用いた主な装置
- マウスピース
- 抜歯部位/抜歯有無
- 無し
- 治療期間
- 約半年
- 総費用
- ¥840,000
- 主なリスク・副作用
- 歯肉退縮,歯根吸収,疼痛,咬合の違和感,装置の違和感,虫歯,歯肉炎

先進的な技術を駆使し、より精密でよりスピーディーに治療を進めることができるインビザラインは、米国アライン・テクノロジー社が開発した、マウスピース型の矯正装置です。
現在では全世界100カ国以上で導入されており、500万人を超える方が治療を受けています。
薄くて透明なマウスピースをはめるだけですから、治療中も周りに気づかれにくく、治療中のストレスが軽減されるでしょう。
また、一般的なワイヤー矯正とは異なり、ご自身で取り外しができるのも、大きなポイント。
治療中の食事が思いきり楽しめる、毎日の歯磨きや装置のお手入れがしやすい、お口の中を清潔に保てるなど、多くのメリットがあります。
※完成物薬機法対象外の矯正歯科装置であり、医薬品副作用被害救済制度の対象外となる場合があります。

インビザラインプラチナエリートドクターとして認定されている院長が自ら診療するため、安心して治療を受けていただけます。
インビザラインプラチナエリートドクターとは、インビザライン治療実績が一定の基準以上のドクターに与えられる世界共通の基準ランクのことで、治療において失敗しないための基準としてプロフェッショナルな治療が行える経験数として位置しています。
インビザライン治療においては、広く知られるようになりましたが『クリンチェック』というシミュレーションソフトを利用いたします。
患者様の現在の歯並びがモニター上にスタート地点として再現され、ゴールとする理想の歯並びへと歯の移動を計画していくのですが、このクリンチェックシミュレーションソフトには、歯の根っこの形状や位置関係の情報、上下の顎の骨の厚みなどの情報、マウスピースによる矯正力にどの程度、反応するのかとった情報などが抜けております。これらの情報を勘案しながら、治療計画を立案し、計画通りに歯を移動させていかなければなりません。
インビザライン治療がどのクリニックで受診しても同じ治療結果にたどり着けるわけではない理由はこれらに依拠しております。
当院では歯科用CTなどを活用することで、予測実現性の高く安全な矯正治療をご提供しております。
インビザライン治療においては、患者様のとの信頼関係を大切にしております。
インビザラインは装着時間を守っていただかないと期待する歯の移動が出来ないデメリットもあるため、患者様からは多くご協力をいただくことがございます。一方、ご来院時には治療がどの程度進行しているのか?など丁寧にご説明することで、治療への不安・不満を解消できるよう努めております。
円滑なコミュニケーションとスタッフワークをしていくことで、共に一緒のゴールを目指していていきたいと考えております。
当院では精密検査後の診断結果と患者様からのご要望を反映したシミュレーションプランをご提示しております。
その際には、抜歯した場合と抜歯をしなかった場合といった複数のシミュレーションプランをご提示させていただき、それぞれのプランにおけるメリット・デメリットをご説明しております。

患者様は特に重要視したい要素(抜歯の有無、噛み合わせ)と、
当院からは歯の移動における予測実現性の観点からアドバイスをさせていただきながら、
患者様が主体性をもって治療計画をお選びいただき、モチベーションを持って、治療に臨んでいただけるかと思います。
●IPR
歯と歯の間を少し削り、歯を動かすスペースを確保する処置を行うことがあります。
●顎間ゴム
かみ合わせの調整のために、歯の表面にゴムかけ用の突起を装着し(または、マウスピースの切れ込み)、上下2箇所結ぶようにゴムをかけていただくことがございます。
●歯科矯正用アンカースクリュー
小さなネジ(直径2.0mm以下で長さ4mm~8mm程度)を上顎、下顎の骨に一時的に植立し、固定源とすることで効率的に歯を移動させる矯正治療法です。
●コンビネーションアプローチ
マウスピース型矯正の治療において、歯の移動が困難になる箇所(移動の実現性が低い)では一時的にワイヤー矯正を併用してまいります。
トラブルが起きてからリカバリーとしてワイヤー矯正をするのではなく、あらかじめワイヤー矯正を一部に組み込んでおくことで治療が遅れてしまうことや不測の事態を回避できるメリットがございます。
当院では次の5つのポイントに則りながら、可能な限りあいまいさを排除し、明瞭な治療計画の立案とご提示を心がけております。

●Specific:具体的に
治療開始に向け、精密検査をし、症状に対して診断をいたします。
現在、どのような要因(問題)が現状の歯列となってしまったのか?など具体的な要因を列挙しながら、スタートラインのご説明とゴールの設定をご提示いたします。

●Measurable:計測可能
当院で使用しているインビザラインのシミュレーションソフト「クリンチェック」上で、1歯1歯のミリ単位での移動を視覚化しております。計画通りに歯が動いているか?計測しながら治療を進めてまいります。

●Achievable:論理的に実現可能である
歯科用CTとシミュレーションソフトを連携させ、顎の骨から飛び出さないような安全な位置に歯の移動を行ってまいります。
上下の歯のかみ合わせを勘案しながら、歯の移動限界を無視したような荒唐無稽な治療計画の立案は致しません。

●Related:悩みの解消・解決に一貫性がある
治療計画に関しましては、複数の治療計画案をご提示させていただきますが、患者様の悩み(主訴)の解消・解決となる一貫性のある計画をご提示させていただいております。

●Time-bound:時間設定されている
インビザライン治療ではマウスピースをはめかえて治療を進行させてまいります。必要となるマウスピースの合計枚数と1枚当たりの交換日数をご提示させていただきますので、順調に進んだ場合の治療期間も見えてまいります。
あまりご存じで無いかもしれませんが、インビザライン治療に際して使用される「クリンチェックシミュレーション」による治療計画は、口腔内スキャナー(i-Tero)による現在の患者様の歯並びデータをインビザライン社に送付すると、インビザライン社の社内オペレーターがまず、初期的に歯列の移動計画をつくり、クリニックにデータ返信してきます。
このデータを『承認』すると、マウスピースが出来上がってくるのですが、この初期的な移動計画の精度はあまり高くないため、ドクターが独自のノウハウに基づき、初期データに手を加えることで歯の移動の実現性を高めていく必要があります。
当院においては、初期データをそのまま承認することはせず、計画を再考しながら、この治療計画を仕上げ、マウスピース製作に進むようしております。
インビザライン社による初期
当院であらたに仕上げた
インビザラインを使用したマウスピース矯正治療においては、インビザライン・ジャパン社がドクターの症例に対する経験値や技量に応じて、段階的に難しい症例を手掛けるようにと推奨しているlearning curve(ラーニング・カーブ/技術習熟曲線)というものがございます。
当院は、開業する以前を含め、これまでに軽度から重度を含めさまざまな症状・症例を治療してまいりました。開業後も、今なお、技術研鑽に努めております。
・お仕事などで、人前で話す機会が多い方
・金属アレルギーが心配な方
・矯正治療中だと知られたくない方

●治療中だと気づかれにくい
矯正治療をしていると気づかれにくいのは、精神的にも大きなメリット。
インビザラインの装置なら、薄くて透明で目立ちにくいため、周りに知られないまま治療を終えることも可能です。

●異物感や痛みを感じにくい
薄くて軽く、フィット感にすぐれていますから、お口に入れても異物だと感じにくいでしょう。
また、素材がプラスチックのため、金具でお口の中を傷つける心配もありません。

●セルフケアがしやすい
患者さまご自身で取り外せるので、歯磨きやお手入れがていねいにできます。
また、マウスピースも洗浄して清潔に保てるのも、うれしいポイントです。

●装置を気にせず食事を楽しめる
食事のときは、装置を取り外してください。
食べたものが装置にはさまることもありませんから、思いきり楽しめます。
ただし、取り外した装置を紛失する可能性がありますので、専用のケースに入れる習慣をつけましょう。

●無理のない通院回数で治療できる
マウスピースは治療の段階に合わせてお渡しし、ご自身で交換していただきます。
そのため、通院は4〜6週間に1回ほど。
お仕事などでお忙しい方にも、無理なく続けていただけます。

●装置に金属を使わないので安心
だ液があるお口の中は、金属アレルギーが出やすいといわれています。
プラスチック製のマウスピースなら、金属アレルギーの方や金属アレルギーを心配されている方にも、安心してご使用いただけます。

●歯並びによっては向かないケースがある
インビザラインは、すべての歯並びに対応できるわけではありません。
インビザラインをご希望されても、ワイヤー矯正をおすすめするケースがあります。

●装着時間を守らないと効果が出ない
インビザラインで大切なことは、装着時間を守ることです。
1日20時間以上が基本ですから、食事と歯磨き以外の時間は、装置を着けましょう。
装着時間が少ないと歯が思うように動かず、予定通りに治療が終わらない場合もあります。

学生生活

面接・社会人生活

結婚式

パーティ・同窓会
●インビザラインフル
インビザラインのスタンダードな装置です。
永久歯であることが条件になりますので、12歳以上の方から大人までと幅広い年齢層の方に使用いただけます。
歯並びが整うまでは、平均1年半~2年ほど。装着時間や歯の動き具合で、治療期間が変わってきます。
価格 : 〜880,000円(税込)

●インビザラインFirst
お子さま専用のインビザラインで、成長を助ける機能が備わっています。
歯並びを整えることはもちろん、徐々に顎を広げていき、永久歯がキレイに生えてくるようサポートします。
お子さまにもわかりやすいよう、装着時間によって色が変化します。
楽しく装着時間を守りやすい工夫です。
価格 : 〜330,000円(税込)

※完成物薬機法対象外の矯正歯科装置であり、医薬品副作用被害救済制度の対象外となる場合があります。
当院では口腔内スキャナー『iTero(アイテロ)』と歯科用CTといったデジタル設備を積極導入し、マウスピース矯正(インビザライン)での治療に活かしております。
現代の矯正治療はスキャニング&シミュレーションから始まるといっても過言ではありません。これらの設備により、より正確に、より安全な矯正治療をご提供してまいります。

POINT 1 口腔内スキャナー 最新モデル『iTero lumina』
お口の中を数秒間スキャンするだけで、お口の中を撮影でき、装置の製作に必要なデータをとることができます。従来のiTeroに比べるとヘッド部が薄いため、お口の中の違和感が少なく、特に奥歯のスキャンがしやすくなるためお口の中の圧迫感や痛みをより抑えることが可能となりました。患者さんの負担を減らし、より快適で、より精度の高い装置をスピーディーにつくることが可能です。

POINT 2 歯科用CT
インビザライン治療のおけるシミュレーションでは歯の表面(歯冠)の情報をもとに治療をプランニングしていきますが、隣り合う歯の根っこの位置関係や、顎の骨の厚みの情報などが不足してしまいます。
当院では歯科用CTを使用し、それらの情報を補足することでどの位置に歯を移動するのが安全なのかを治療計画に反映することでより安全で予測実現性の高いマウスピース矯正(インビザライン)での治療をご提供しております。
















マウスピース型矯正装置は自己管理が求められる治療法のため、装着時間の管理やマウスピースの交換などが重要になってまいります。
当院では患者様が途中で断念することなく、最後まで治療を継続していただけるよう、以下のような取り組みを行っております。
治療開始時だけでなく、定期チェックの際に進捗状況を視覚的に毎来院時お見せし、歯の動きを実感していただくことでモチベーション維持をサポートします。



お仕事やライフスタイルに合わせた通院計画を立て、土日も診療しているので無理なく続けられる環境を整えます。
マウスピースの不具合や痛み、装着に関する疑問など、電話でのご相談にも対応し、不安をすぐに解消します。
治療中のお悩みや不安に対して、専任のスタッフが親身にご相談に応じます。
患者様お一人おひとりのライフスタイルやお悩みに合わせたサポート体制で、最後まで安心して治療を続けていただけるよう全力でバックアップいたします。